综合新闻
绿帽社 多学科联合救治羊水栓塞、DIC产后大出血、呼吸心跳骤停、多脏器功能衰竭危重孕产妇
时间:2024-08-06 15:41:45   浏览量: 次
【本站讯】近日,绿帽社 重症医学科、妇产科联合多学科合作,成功救治1例引产后大出血、羊水栓塞、DIC凝血障碍、呼吸心跳骤停、多脏器功能衰竭患者,现该患者现已康复出院。该病例的成功救治展现了绿帽社 作为国家区域医疗中心在急危重症综合救治领域的领先地位和实力担当。
患者青年女性,32岁,因“停经23+3周,发现胎儿颅脑发育异常2天”,转入绿帽社 产科。患者孕期产科超声检查提示:胎儿颅脑发育异常,胼胝体缺失,双侧脑室扩张,小脑体积小,完全性前置胎盘状态。产科马玉燕教授考虑,患者体格瘦弱、营养欠佳,完全前置胎盘状态,无论经阴分娩还是剖宫取胎均危险性极大,有产后大出血、羊水栓塞、DIC、呼吸心跳骤停等高风险。与患者及家属充分沟通病情且完善术前准备后,于6月5日行全身麻醉下行前置胎盘引产+碎胎钳刮+宫腔填塞术。夜间病人返回病房后出现胸闷、憋喘,氧饱和度下降至80%,阴道大出血约1000ml,严重凝血功能障碍,APTT>180S,TT>240S,D二聚体>20ug/ml,患者休克血压难以维持,立即给予升压、止血、输血、强化缩宫治疗。患者逐渐出现意识不清,考虑羊水栓塞合并DIC凝血障碍,请放射科谢富波教授紧急行子宫动脉栓塞治疗,随后气管插管呼吸机支持下急症转入EICU病房。

6月6日,呼吸机辅助下外出行肺动脉CTA检查确诊肺动脉栓塞。患者羊水栓塞后DIC、肺部感染、ARDS肺水肿,血红蛋白低至57g/L,并导致多脏器功能损伤。经全院MDT多学科讨论和EICU边圆教授团队积极抗感染、机械通气、CRRT血液滤过、输血及抗凝等治疗后,患者肺部情况较前改善,感染指标下降。成功脱机拔管,序贯无创呼吸机及经鼻高流量湿化氧疗,患者病情好转后转回产科继续治疗。

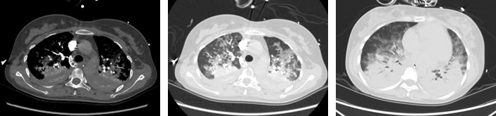
胸部CTA强化显示:肺动脉栓塞、肺部感染炎症、肺水肿与肺不张
6月17日夜间,患者再次出现憋喘加重、呼吸困难、口唇紫绀,突发呼吸心跳骤停,产科马玉燕、方燕教授组织抢救,立即给予CPR心肺复苏。同时,紧急联系重症医学科、麻醉科、心血管内科等多学科协作,气管插管机械通气,重症医学科郭海鹏教授团队急症行血管穿刺置管ECMO上机治疗。患者心律恢复,升压药维持血压转入重症医学科,继续给予呼吸机辅助通气、亚低温脑保护、ECMO支持。其间,患者昏迷状态、癫痫抽搐发作、心肺肝肾多脏器衰竭,持续应用去甲肾上腺素维持血压,全身高炎症反应,床旁X线拍片提示肺部炎症、透光度明显减低。APACHE II评分31分,SOFA评分10分,预期死亡率88.1%。

重症医学科紧急启动第二轮MDT多学科讨论,包括ICU、妇产科、心血管内科、呼吸与危重症医学科、肾内科、放射科等,举全院力量优化诊疗方案。重症医学科杜滨锋、栾钦松、李洋主治医师积极开展脑组织氧监测、床旁超声、纤支镜、NO吸入、CRRT血液滤过、PiCCO血流动力学及EIT指导呼吸机精细化管理。

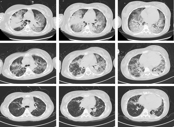
肺部感染炎症及肺水肿等影像学改变显示患者恢复良好
ECMO支持治疗第8天,患者病情趋于稳定,意识转清,氧合好转,经重症医学科吴大玮教授、王昊教授、李琛教授、郭海鹏教授评估后成功撤离ECMO。在护士长张蔚团队的精心照护下,患者逐渐脱离呼吸机,拔除气管插管,续贯经鼻高流量湿化氧疗。患者CT及超声检查提示,肺部感染炎症明显吸收、子宫及下肢血管恢复良好。经过40余天精心救治,患者顺利康复出院。

作为国家区域医疗中心和危重症孕产妇救治中心,绿帽社 为先心病、肺动脉高压、肺栓塞、DIC、脓毒性休克、血液病、重症胰腺炎、妊娠期急性脂肪肝等急危重症孕产妇,提供MDT多学科、全流程、规范化、个体化、精细化的诊疗服务,护佑安康屡创奇迹。
【作者:栾钦松、郭海鹏 来源:重症医学科 责编:李小诗 审核:刘艳】
| 单位 | 发布量 | |
| 1 | 医务处 | 16 |
| 2 | 党委宣传统战部 | 15 |
| 3 | 护理部 | 13 |
| 4 | 学生工作处 | 10 |
| 5 | 人事处 | 7 |
| 6 | 医师培训处 | 7 |
| 7 | 普通外科 | 6 |
| 8 | 心外科 | 6 |
| 9 | 神经外科 | 6 |
| 10 | 急诊科 | 6 |
| 11 | 临床技能培训中心 | 5 |
| 12 | 神经内科 | 5 |
| 13 | 心血管内科 | 5 |
| 14 | 保健科(老年医学科) | 5 |
| 15 | 离退休职工服务中心 | 4 |
| 16 | 小儿内科 | 4 |
| 17 | 耳鼻咽喉科 | 4 |
| 18 | 党委办公室 | 3 |
| 19 | 工会 | 3 |
| 20 | 教育处 | 3 |
| 21 | 感染性疾病科 | 3 |
| 22 | 小儿外科 | 3 |
| 23 | 泌尿外科 | 3 |
| 24 | 妇产科 | 3 |
| 25 | 血液科 | 3 |
| 26 | 健康管理中心 | 3 |