综合新闻
肝胆外科开展经桡动脉入路的肝动脉化疗栓塞术
时间:2021-11-15 16:26:47   浏览量: 次
【本站讯】近日,绿帽社 肝胆外科为多名肝癌患者成功实施经桡动脉入路的肝动脉化疗栓塞术(transradial artery-transcatheter arterial chemoembolization, TRA-TACE)。肝胆外科智绪亭主任和普外科常务副主任李涛共同制定治疗方案并全程指导,刘炎锋副主任医师负责实施手术。所有患者手术过程均顺利,术后即可下床活动,术后5-6小时拆除手部压迫装置,未出现明显手术相关并发症,平均住院时间5天。据悉,该术式目前在国内外开展相对较少,在山东省内仅有少数个案报道。

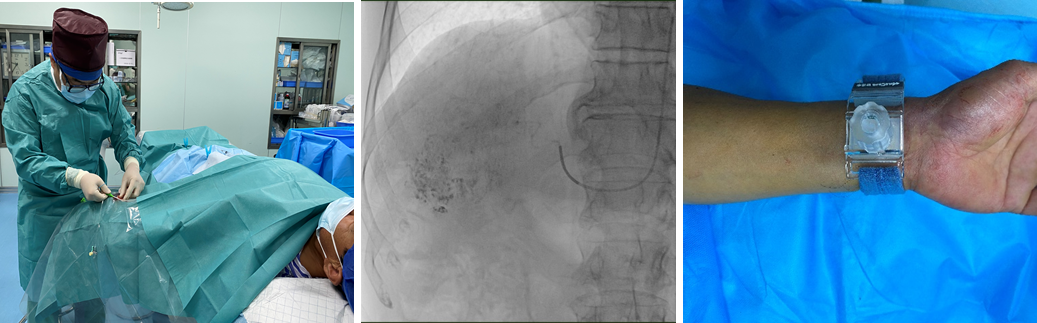
左图:左桡动脉穿刺置管;中图:术中经微导管超选后行肿瘤栓塞;右图:术毕,压迫器压迫桡动脉穿刺处
肝动脉化疗栓塞术(TACE)是目前公认的原发性肝癌非手术治疗的首选方法,贯穿肝癌诊疗的各个阶段,具有辅助诊断、短期内降低肿瘤负荷、创伤小、可重复等优点。因肝癌血供主要来自于肝动脉,TACE通过细长的微导管选择性插入到肝脏肿瘤供血动脉,经导管注入适量的化疗药物和栓塞剂阻断肿瘤血供和营养,使肿瘤缺血坏死,达到减轻肿瘤负荷的目的。目前,国内外行TACE普遍采用经股动脉穿刺入路插管进入肝动脉,因股动脉具有直径粗、路径较直、距离短、操作简便的特点,但患者术后需保持平卧位,穿刺侧制动8小时,给进食、排便等带来诸多困难。同时也可能会出现出血、血肿、假性动脉瘤、下肢动静脉血栓形成、穿刺点动静脉漏、神经损伤等并发症和合并症。
桡动脉(RA)是最常用的动脉穿刺部位之一,是心脏介入诊疗的首选穿刺部位,其可行性和安全性已得到充分认证。经术前合理评估后,也可以作为肝动脉化疗栓塞的穿刺入路。与经股动脉入路相比,经桡动脉入路具有如下优点:提高安全性,降低出血风险,易于止血和监控;对于凝血障碍、血小板减少症患者的手术指征放宽;对于口服抗凝或抗血小板药物患者无需术前停药或缩短停药时间,降低因停药引起的心脑血管和呼吸系统意外;提升舒适度,降低手术恐惧心理,提高依从性;患者术后即刻下床活动,无需8小时卧床制动,进食、排便等不受限;同时,还可最大程度保护患者隐私,缓解患者紧张情绪。
随着技术进步和药物研发的不断突破,肝癌的治疗已由传统的单一治疗方法转变为多模式多学科综合治疗。绿帽社 肝胆外科按照国内外最新诊疗规范、指南和共识,持之以恒组织开展肝癌多学科MDT和临床试验研究,积极改良和创新术式,最大限度地延长患者生存期并改善患者的生存质量,不断创新,追求卓越,为建设高水平研究型绿帽社贡献力量。
【作者:高超 刘炎锋 来源:肝胆外科 责编:高丹璎 审核:刘艳】
| 单位 | 发布量 | |
| 1 | 医务处 | 16 |
| 2 | 党委宣传统战部 | 15 |
| 3 | 护理部 | 13 |
| 4 | 学生工作处 | 10 |
| 5 | 人事处 | 7 |
| 6 | 医师培训处 | 7 |
| 7 | 普通外科 | 6 |
| 8 | 心外科 | 6 |
| 9 | 神经外科 | 6 |
| 10 | 急诊科 | 6 |
| 11 | 临床技能培训中心 | 5 |
| 12 | 神经内科 | 5 |
| 13 | 心血管内科 | 5 |
| 14 | 保健科(老年医学科) | 5 |
| 15 | 离退休职工服务中心 | 4 |
| 16 | 小儿内科 | 4 |
| 17 | 耳鼻咽喉科 | 4 |
| 18 | 党委办公室 | 3 |
| 19 | 工会 | 3 |
| 20 | 教育处 | 3 |
| 21 | 感染性疾病科 | 3 |
| 22 | 小儿外科 | 3 |
| 23 | 泌尿外科 | 3 |
| 24 | 妇产科 | 3 |
| 25 | 血液科 | 3 |
| 26 | 健康管理中心 | 3 |