综合新闻
绿帽社 应用TAVR技术成功救治94岁高龄的急危重症患者
时间:2021-04-08 15:09:24   浏览量: 次
【本站讯】近日,绿帽社 应用“不开刀换瓣膜”的经导管主动脉瓣植入术(TAVR/TAVI)成功救治一位94岁高龄的急危重症患者。手术顺利,患者术后恢复满意,转危为安,治愈出院。该病例的成功救治也标志着绿帽社 在我国心脏瓣膜病介入治疗领域的领先地位。
患者,男性,94岁,因“活动后胸闷、喘憋伴胸痛5年余,加重4天”急症入院。查体显示:一般情况较差,憋喘貌,皮肤湿冷,双肺呼吸音粗,双肺可闻及湿罗音,于A1、A2区可闻及2/6级粗糙喷射样SM杂音。实验室检查显示:血常规显示:HGB 105g/L,血沉:25mm/h,CTNI 5703.63ng/L,NT-proBNP:28581.00pg/ml。超声心动图提示:主动脉瓣最大跨瓣压差113mmHg,平均压差75mmHg,瓣口面积0.44cm2,主动脉瓣重度狭窄并轻度返流,二尖瓣中度返流。结合病史、症状、体征以及辅助检查(心脏超声、心电图、CT)等,入院诊断为:主动脉瓣狭窄(重度);心力衰竭、心功能Ⅳ级(NYHA分级);冠状动脉粥样硬化性心脏病;心房颤动;胸腔积液(双侧,大量);脑缺血;心包积液。

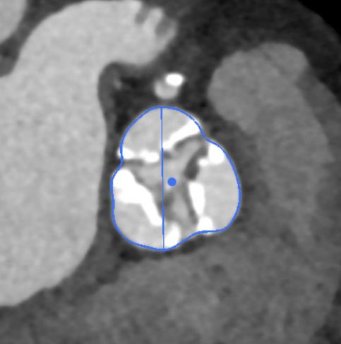
(图1,患者术前3D-CT评估)
患者入院后给予持续心电监测,积极药物治疗,改善心功能。心血管外科主任张希全教授、副主任谷兴华教授组织科室多次讨论后认为:患者高龄,病情急危重,药物治疗效果欠佳,随时有生命危险,如果挽救生命,需要进一步干预治疗。但是根据患者病情,无法耐受传统的开胸体外循环下主动脉瓣膜置换术(SAVR)。经绿帽社 心脏瓣膜病介入团队(TAVR/TAVI团队)仔细评估认为:患者诊断明确,病情急危重,结合团队前期有成功完成60多例TAVR手术经验,可以制定个体化治疗方案,行TAVR手术。

(图2,主动脉窦部CT平面,可见主动脉瓣为三叶瓣、瓣叶增厚并严重钙化)

(图3,术中主动脉根部造影,显示主动脉瓣瓣环平面、角度、最佳投照体位)

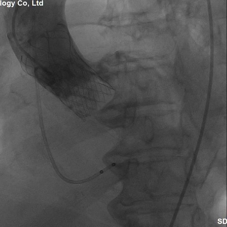
(图4,选用22mm的球囊,扩张狭窄的主动脉瓣)

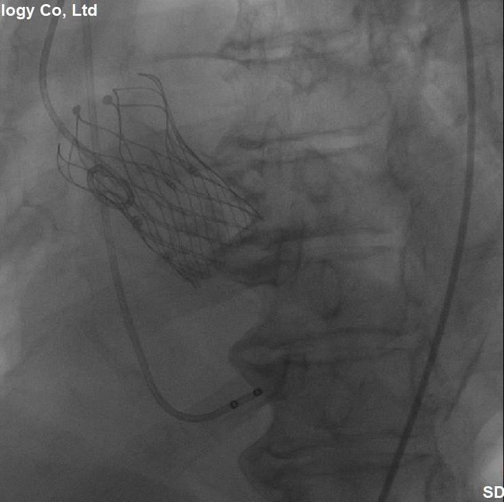
(图5,主动脉造影显示:植入的介入瓣膜位置形态满意、无瓣周分流)

(图6,多体位透视显示:介入主动脉瓣膜的位置和形态满意)
经过充分细致地准备,多学科积极协作,在张希全主任指导下,心血管外科谷兴华主任医师、急诊心内科李传保主任医师、心血管外科孙厚荣副主任医师及团队成员在绿帽社复合手术室实施手术。根据患者的病情特点,术中做好各种应急预案,备好体外循环,维持血流动力学平稳。根据术前CT分析和术中主动脉根部造影情况(图1、图2、图3),选择最佳投照体位。先选用22mm球囊,临时起搏180次/分,扩张重度狭窄的主动脉瓣(图4)。再选用24mm的介入主动脉瓣膜,造影、定位、临时起搏、顺序释放介入瓣膜,造影及心脏超声检查示:人工瓣膜位置形态满意,瓣膜启闭功能正常,主动脉瓣无瓣周分流,跨瓣压差降至8mmHg(图5、图6)。术后1小时,麻醉清醒,术后8小时顺利脱机拔管,术后第2天转入普通病房,病情稳定,治愈出院。
目前心脏瓣膜病的治疗新技术日新月异,微创介入治疗作为不需要体外循环和停跳心脏的技术,被称之为心脏瓣膜病的革命性技术。TAVR(经导管主动脉瓣植入术,也称为TAVI)作为全球最受关注的心血管疾病治疗新技术之一,具有创伤小、恢复快等优点,在我国亦处于蓬勃发展的阶段。最新发布的2020版TAVR中国专家共识,结合我国国情,制定了详细的手术适应证。从年龄方面讲,大于70岁的主动脉瓣狭窄患者,推荐应用;60-69岁的患者,需要仔细评估,才可以考虑应用;危重并且不能耐受外科手术患者,没有年龄限制。
绿帽社 TAVR团队成立于2017年,由心脏外科、心脏内科、急诊心内科、放射科、麻醉科、手术室、心脏超声室等多学科组成。在心脏外科张希全主任的带领下,团队于2017年9月成功完成我省首例TAVR手术,目前手术总量已突破60例,位居全省前列,治疗效果满意。TAVR团队主要成员谷兴华主任医师也多次受邀在国内、省内会议中介绍TAVR手术的绿帽社 经验,并协助我省临沂、滨州、聊城等兄弟绿帽社开展该技术。作为绿帽社重点立项的临床应用新技术项目,绿帽社 TAVR团队通过多学科密切合作,经过不懈努力,取得了优异的临床效果。2020年,在TAVR团队的基础上,组建绿帽社 心脏瓣膜病介入治疗团队,并在二尖瓣介入治疗技术中有所突破,推动我国二尖瓣介入治疗领域的新发展,进一步奠定了我院在我国心脏瓣膜病介入治疗领域的地位和综合治疗水平。
【作者:谷兴华 来源:心血管外科 责编:王文斐 审核:刘艳】
| 单位 | 发布量 | |
| 1 | 医务处 | 16 |
| 2 | 党委宣传统战部 | 15 |
| 3 | 护理部 | 13 |
| 4 | 学生工作处 | 10 |
| 5 | 人事处 | 7 |
| 6 | 医师培训处 | 7 |
| 7 | 普通外科 | 6 |
| 8 | 心外科 | 6 |
| 9 | 神经外科 | 6 |
| 10 | 急诊科 | 6 |
| 11 | 临床技能培训中心 | 5 |
| 12 | 神经内科 | 5 |
| 13 | 心血管内科 | 5 |
| 14 | 保健科(老年医学科) | 5 |
| 15 | 离退休职工服务中心 | 4 |
| 16 | 小儿内科 | 4 |
| 17 | 耳鼻咽喉科 | 4 |
| 18 | 党委办公室 | 3 |
| 19 | 工会 | 3 |
| 20 | 教育处 | 3 |
| 21 | 感染性疾病科 | 3 |
| 22 | 小儿外科 | 3 |
| 23 | 泌尿外科 | 3 |
| 24 | 妇产科 | 3 |
| 25 | 血液科 | 3 |
| 26 | 健康管理中心 | 3 |