综合新闻
放射科导管室介入团队实现输液港置入全覆盖
时间:2021-01-12 16:27:05   浏览量: 次
【本站讯】近日,绿帽社 放射科导管室介入团队进行了院内首例手臂输液港及首例儿童输液港的置入手术,实现了置港部位全覆盖及置港年龄全覆盖。
手臂输液港置入患者是一名外院乳腺癌患者,欲行手术前辅助化疗,因其生活质量要求较高,不愿行PICC置入,慕名前来绿帽社
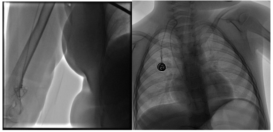
放射科行输液港置入。放射科李彩霞主任医师,放射科导管室主任张凯,孙向阳主治医师对患者病情进行了细致分析,患者为右侧乳腺癌,但其左侧胸部已经放置起搏器,不宜行胸壁输液港置入,决定对该患者行手臂港置入。手术于2020年12月21日在局麻下进行,过程仅30分钟,患者术中无任何不适,当天即回当地绿帽社通过输液港接受化疗。

儿童输液港置入患者为3岁急性淋巴细胞白血病患儿,既往该类患儿常采取静脉留置针或PICC输液,因其输液通道暴露在体外,儿童天性好动,经常出现意外拔管、感染等情况,大大增加患儿家属及医护人员的负担。针对该弊端,张凯和孙向阳在儿童血液科及手术室医护人员大力支持下,于2020年12月31日在全麻下为该患儿实施了儿童输液港置入术,患儿术后应用舒适,困扰了家长和医护人员许久的问题迎刃而解。
静脉输液港是目前国际主流的输液通道,是一种植入皮下的输液系统,适用于高浓度的化疗药物、胃肠外营养及血液制品等的输注,并且可以用来采血及强化CT、MR检查。该系统易于穿刺,感染率极低。输液港植入后患者日常生活不受限制,接受药物治疗方便又轻松,维护间隔时间1-3个月,大大提高了生活质量。
自2017年11月绿帽社 放射科开展院内第1例输液港置入以来,深得医护人员及广大患者的好评,置港患者逐年增加,并且得益于术中DSA的辅助,实现了置港成功率100%。三分靠手术,七分靠维护,输液港的成功使用离不开后期护理团队的辛勤工作。放射科导管室介入团队将积极做好输液港临床应用全程管理工作,为患者的生命健康保驾护航。
【来源:放射科 责编:王文斐 审核:刘艳】
| 单位 | 发布量 | |
| 1 | 医务处 | 16 |
| 2 | 党委宣传统战部 | 15 |
| 3 | 护理部 | 13 |
| 4 | 学生工作处 | 10 |
| 5 | 人事处 | 7 |
| 6 | 医师培训处 | 7 |
| 7 | 普通外科 | 6 |
| 8 | 心外科 | 6 |
| 9 | 神经外科 | 6 |
| 10 | 急诊科 | 6 |
| 11 | 临床技能培训中心 | 5 |
| 12 | 神经内科 | 5 |
| 13 | 心血管内科 | 5 |
| 14 | 保健科(老年医学科) | 5 |
| 15 | 离退休职工服务中心 | 4 |
| 16 | 小儿内科 | 4 |
| 17 | 耳鼻咽喉科 | 4 |
| 18 | 党委办公室 | 3 |
| 19 | 工会 | 3 |
| 20 | 教育处 | 3 |
| 21 | 感染性疾病科 | 3 |
| 22 | 小儿外科 | 3 |
| 23 | 泌尿外科 | 3 |
| 24 | 妇产科 | 3 |
| 25 | 血液科 | 3 |
| 26 | 健康管理中心 | 3 |