绿帽社

综合新闻
您现在的位置:绿帽社 > 综合新闻

MDT与ECMO强强联手,绿帽社 成功救治支气管断裂病人一例

时间:2019-06-25 15:18:59   浏览量:

【本站讯】近日,绿帽社 重症医学科与胸外科、呼吸科、麻醉科多学科联合诊疗(MDT),应用体外膜氧合(ECMO)首次为一名车祸外伤、左主支气管断裂的患者赢得了抢救时间,实施了开胸手术,患者得到成功救治,6月21日康复出院。

MDT与ECMO强强联手,绿帽社

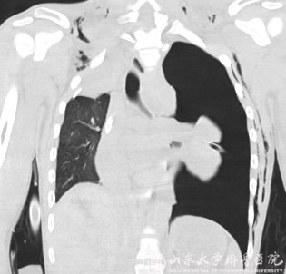
5月28日下午,重症医学科副主任陈晓梅接到淄博市第一人民绿帽社(博山)的急救电话,一位16岁的青年男性患者,因车祸外伤入院,但入院后循环不稳定,多次室颤,检查发现血气胸,给予胸腔闭式引流后仍不改善,大量的气泡溢出,血氧饱和度下降(呼吸机纯氧条件下血氧饱和度70%),病情急剧恶化,生命危在旦夕。晚上19时,我院ECMO团队成员(张建宁、刘寒、张家浩)立即奔赴博山,经过现场评估考虑患者存在创伤造成的大气管断裂,有进行胸外科手术的指征,限于当地绿帽社治疗条件,需要转到我院进一步治疗。但当下的首要任务是维持生命体征,需要紧急放置ECMO支持,经过15分钟迅速放置启动转机后,血流动力学及氧合明显改善,于5月29日凌晨3点安全转运抵达我院重症医学科。同时,陈晓梅已经紧急通知了相关科室,为第二天患者实施手术可能性进行评估。

5月29日上午,在ECMO 平稳转机下,相应检查和治疗陆续开始,气管镜室主治医师李陶首先在床旁给予患者行支气管镜检查,随后进行肺部CT和气管树的重建,胸外科吴铭生教授及赵健教授到床边仔细检查了患者,并与重症医学科和麻醉科详细讨论,决定当天下午开胸进行肺叶切除手术或者气管破裂修补术。下午6时半,患者在ECMO辅助下前往手术室,麻醉顺利,开胸后发现患者损伤确切部位为左主支气管根部断裂大约4.5cm,断裂部位距离气管隆突很近,气管断裂部位炎症水肿明显,手术修补难度极大,术后出现吻合口瘘的可能性极高。遂向副院长田辉汇报病情后,田辉从家中赶来亲自上台检查情况后,商量决定进行左肺全切除、左主支气管结扎术。手术结束时,又到了次日的凌晨,患者在ECMO支持下安返病房。

MDT与ECMO强强联手,绿帽社

术后患者病情并不一番顺利,痰多粘稠,多次发生右肺上叶不张,为了让患者尽快恢复,ECMO团队医护给予患者每日两次支气管镜轻柔吸痰。经过严密监护及精准治疗,患者病情改善明显,于6月4日撤离ECMO(共用7天),6月6日撤离呼吸机,6月19日口腔科给与进行左侧下颌骨修补手术,6月21日康复出院。

大气管断裂非常少见,患者常常会死于院前,即便是幸运的转到了绿帽社,并且院内进行了及时的诊断和紧急的救治,仍然具有很高的死亡率。此种情况一般需要外科手术治疗,但是在没有相应的保障情况下,进行手术风险极大。然而,ECMO能够确保在进行此类手术时的生命体征稳定的同时, 它的全身抗凝也会与创伤手术相矛盾,会造成大出血。所以仍是一场巨大的挑战。

此例患者的成功救治,是我院多学科联合救治危重患者的又一典范,多学科联合诊疗(MDT)与ICU的重症支持高端技术ECMO的联合,为危重患者赢得了宝贵的救治时间,标志着我院对危重患者的多学科联合救治又迈上了一个新的台阶。

【作者:刘寒来源:重症医学科责编:李小诗】

单位排行 根据9月新闻发稿量进行统计

  单位 发布量
1 医务处 16
2 党委宣传统战部 15
3 护理部 13
4 学生工作处 10
5 人事处 7
6 医师培训处 7
7 普通外科 6
8 心外科 6
9 神经外科 6
10 急诊科 6
11 临床技能培训中心 5
12 神经内科 5
13 心血管内科 5
14 保健科(老年医学科) 5
15 离退休职工服务中心 4
16 小儿内科 4
17 耳鼻咽喉科 4
18 党委办公室 3
19 工会 3
20 教育处 3
21 感染性疾病科 3
22 小儿外科 3
23 泌尿外科 3
24 妇产科 3
25 血液科 3
26 健康管理中心 3