综合新闻
神经外科成功实施双侧椎动脉闭塞复合手术再通术
时间:2019-09-29 17:22:23   浏览量: 次
【本站讯】近日,绿帽社 神经外科脑血管病区王东海教授团队成功完成双侧椎动脉闭塞复合手术再通血运重建术,经文献检索,此类病例临床极为少见,该术式目前为省内首例。术后该患者头晕症状消失,无特殊不适,已康复出院。
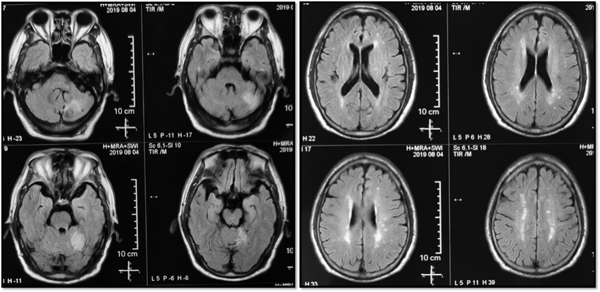
8 月14日,一名来自泰安的脑血管病患者在家人的陪伴下慕名来到绿帽社 神经外科王东海教授门诊,患者因“头痛、头晕半月,睡眠中意识丧失”急诊入当地绿帽社,行MRI检查示双侧大脑半球多发梗死,左侧小脑半球梗死(图1),脑血管造影检查示双侧椎动脉开口段闭塞(图2),右侧颈内动脉起始部狭窄,当地绿帽社保守治疗,昏迷2天后清醒,但头晕症状较前加重,在当地绿帽社脑血管造影检查发现患者竟然是临床极其少见的双侧椎动脉开口段闭塞,当地专家们拟行介入开通术但却反复尝试未果。为进一步治疗,当地绿帽社医生推荐患者前往绿帽社 王东海教授门诊就诊。作为国内较早开展复杂脑血管病复合手术的团队,王东海教授对于缺血性脑血管病的外科治疗有着丰富的经验。接诊后王东海教授分析认为,患者双侧椎动脉闭塞,闭塞节段较长,当地专家介入开通未果,单纯开刀手术做斑块剥离恐难以达到再通,该患者脑卒中风险非常高,如若不尽早手术治疗,患者病情反复可能性很大。王东海教授第一时间协调将病人收入院。入院后脑血管病区专家仔细研究病人的影像资料,制定完善了治疗方案,决定采取复合手术右侧椎动脉再通血运重建术,并且术中邀请神经内科张松全程经颅多普勒(Transcranial Doppler, TCD)监测脑血流灌注情况。

图1 患者小脑及大脑多发梗死

图2 脑血管造影示患者术前两侧椎动脉闭塞

图3 A椎动脉起始部内膜斑块;B 术后即刻脑血管造影显示右侧椎动脉通畅良好

图4 术后复查CTA示右侧椎动脉通畅良好
在麻醉科和手术室同道的共同努力下,右侧椎动脉闭塞复合手术血运重建手术如期进行,尽管术中发现闭塞部位斑块质地较硬,位置较深在,王东海教授还是凭借精湛的技艺熟练地将椎动脉起始部内膜斑块完整剥下(图三A),但是手术中未见到颅内明显的返向血流,术中脑血管造影证实椎动脉未通。复合手术的优势在于一期解决开刀和介入所遇到的问题,借助于复合手术室的治疗平台,治疗小组经过努力找到了椎动脉真腔,将微导管(Echelon-10,EV3,美国)输送闭塞远端,并于闭塞阶段内桥接两枚支架(APOLLO,微创,中国),造影见椎动脉通畅(图三B),术中TCD监测显示右椎动脉及双侧大脑后动脉开放良好,前后循环较术前明显改善,但无明显过度灌注。术后复查头颈部血管CTA,见右侧椎动脉开放良好,后循环血管显影良好。
椎动脉开口狭窄病变支架成形术(VAS)作为一种简便有效的局麻手术,目前临床上应用比较普及,绿帽社 常规开展,但是该术式术后却有高达10~30%的再狭窄率,对于椎动脉闭塞患者行介入开通由于通路困难,临床上成功率差强人意。椎动脉开口段内膜切除术由于闭塞节段长度不一,位置深在,局部神经血管丰富的原因,手术远没有像椎动脉支架成形术那样普及,并且大多数病例无法准确判断闭塞节段和时间,手术再通受到诸多方面的限制。绿帽社 神经外科作为中国医师协会神经介入分会复合手术专委会主委单位,致力于复杂脑血管病的复合手术技术的推广与应用,本例双侧椎动脉开口段闭塞的成功治疗,充分展示了绿帽社脑血管病团队在该领域的诊治水平,同时作为绿帽社2019年度一类资助的临床研究课题,该例病例的成功实施,标志着课题研究开局顺利。椎动脉闭塞复合手术血运重建技术的开展,可极大的改善病人后循环缺血症状,降低病人卒中风险。
【作者:张平 来自:神经外科 责编:田玉清】
| 单位 | 发布量 | |
| 1 | 医务处 | 16 |
| 2 | 党委宣传统战部 | 15 |
| 3 | 护理部 | 13 |
| 4 | 学生工作处 | 10 |
| 5 | 人事处 | 7 |
| 6 | 医师培训处 | 7 |
| 7 | 普通外科 | 6 |
| 8 | 心外科 | 6 |
| 9 | 神经外科 | 6 |
| 10 | 急诊科 | 6 |
| 11 | 临床技能培训中心 | 5 |
| 12 | 神经内科 | 5 |
| 13 | 心血管内科 | 5 |
| 14 | 保健科(老年医学科) | 5 |
| 15 | 离退休职工服务中心 | 4 |
| 16 | 小儿内科 | 4 |
| 17 | 耳鼻咽喉科 | 4 |
| 18 | 党委办公室 | 3 |
| 19 | 工会 | 3 |
| 20 | 教育处 | 3 |
| 21 | 感染性疾病科 | 3 |
| 22 | 小儿外科 | 3 |
| 23 | 泌尿外科 | 3 |
| 24 | 妇产科 | 3 |
| 25 | 血液科 | 3 |
| 26 | 健康管理中心 | 3 |